Fogászat Buda szívében Soldent Implantációs Központ
Prémium fogászati implantációs kezelések

Svájci minőség
A Soldent Fogászati Központ kezdetben svájci, norvég és luxemburgi páciensek fogadására jött létre.
Rendelőnkben dolgozó fogorvosaink külföldön dolgoztak évekig.
Megismerve ezen országok fogászati ellátásának magas színvonalát és protokolljait, szeretnénk itthon is mindezt elérhetővé tenni a magyar pácienseink számára.
Célkitűzésünk, hogy Budapest egyik legmagasabb színvonalú implantációs és esztétikai fogászati rendelőjét működtessük.
fájdalommentes kezelések
A páciensek többsége tart a fogorvostól, ezért kiemelt figyelmet fordítunk arra, hogy a lehető legkevesebb kellemetlenséget érezzék a kezelések alatt és után is.
A kezelések során mindig arra törekszünk, hogy teljesen fájdalommentesek legyenek a beavatkozásaink.
Esztétikai garancia
Egyedülálló garanciát kínálunk pácienseinknek, mivel biztosak vagyunk az általunk nyújtott minőségben.
Amennyiben a kezeléstől számított egy éven belül változtatást szeretne az újonnan elkészített fogpótlásával kapcsolatban, teljesen költségmentesen elvégezzük a korrekcióhoz szükséges beavatkozásokat.
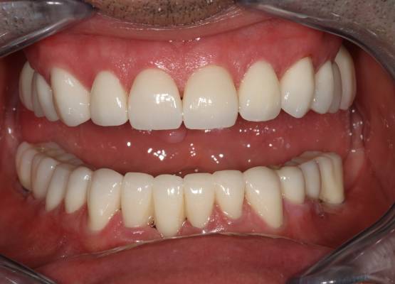
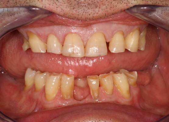
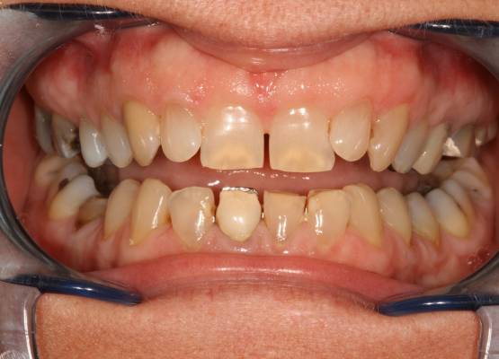
Így lehetnek teljesen egészséges és szép fogai
Amennyiben fogpótlásra van szüksége és tartós, biztonságos, minőségi megoldást keres, akkor a legjobb helyen jár! Tapasztalt és magasan képzett fogorvos és szájsebész csapatunk kiváló minőségű fogászati megoldásokat nyújt páciensei részére.
A minőség, fájdalommentesség és hosszútávú sikeresség mellett arra is ügyelünk, hogy új fogsora ne csak esztétikus legyen, hanem alkalmazkodjon az arcformájához is.
Célunk, hogy a kezelések végeztével az elégedett mosolyon túl, teljesen sajátjának érezze új fogsorát. A fogászati tudomány nagy előrelépést tett az elmúlt 20 évben. Hihetetlenül innovatív megoldások, forradalmian hypoallergán anyagok használata mindennapi rutinná és gyakorlattá vált, ideértve a fogászati implantátumokat, fémmentes (Zirkon, Préskerámia E-max) korona és hídanyagokat. Még a legreménytelenebbnek tűnő esetekben is ezek a modern innovációk lehetővé teszik a károsodott fogak rövid időn belüli, magas színvonalú, teljesen fájdalommentes helyreállítását.
Jelentkezzen be hozzánk Fogászati Konzultációra!
3 + 1 ok, amiért érdemes SolDentet választania
Mosolytervezés igényei szerint
Munkánk során a technológiai pontosság mellett, kiemelten foglalkozunk az esztétikai szempontokkal is. Pácienseinkkel együtt tervezzük meg, hogy a kezeléseket követően, hogyan nézzen ki a mosolya. Megbeszéljük a fogak formáját, hosszát és egyéniségéhez illő színvilágát is. Mindezt digitálisan is megtervezzük, tehát már a kezdeti szakaszban, a kezelések előtt láthatja, milyen lesz az elkészült végeredmény.
+1 Kiszámíthatóság és tervezhetőség
Már az első konzultációt követően elkészítjük a kezelési tervét. Így pontosan tudni fogja, hogy mikor és mire számíthat!
Jelentkezzen be hozzánk Fogászati Konzultációra!
4000
Beültetett implantátum
11000
Behelyezett korona
4500
Elégedett páciens
150
Akik legyőzték a fogorvostól való félelmüket
Pácienseink mondták
Szuper kedves fogadtatás és megbízhatóság. Szakmailag hozzáértő orvosi személyzet, és az elképzeléseimet is messze túlszárnyaló végeredmény. Nagyon köszönöm!
B. MónikaKedvesség, figyelmesség, odafigyelés… és még sok minden más. Köszönöm, hogy lehetőséget adtak, hogy visszakapjam a mosolyom. Most már ismét tudok rágni, megfelelően étkezni, jobban érzem az ételek ízét. Mindez egyszerűnek tűnhet, de számomra olyan érzés, amit már nagyon régóta nem tapasztalhattam meg. 68 évesen ismét szépek a fogaim.
F. PéternéKedves fogadtatás, kellemes környezet, zéró fájdalom. Mindent köszönök. A kezelések nem mindig teltek észrevétlenül, de a csapatnak hála, mindebből nem sokat éreztem. Teljes szívemből köszönöm.
T. AnnaSzívből köszönöm Oláh Doktor Úrnak és a Soldent teljes csapatának azt az odaadó munkát, amivel visszaadták a mosolyomat!
T. Ferenc










